Surprise Me!
Most Headspins In One Minute
2013-07-25
9
Dailymotion
Please enable JavaScript to view the
comments powered by Disqus.
Related Videos
Episode 7- Most Headspins and Most Basketball 3 Pointers in 1 min!!
MVGEN: The Headspins : Anexsia 7.5
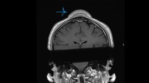
Un break-danseur se fait retirer une tumeur au crâne due à une accumulation de « headspins »
Breakdancers are putting themselves at risk of 'cone-head' with repetitive headspins
Read Study Skills Strategies: Get the Most From Every Minute of Learning (Crisp Fifty Minute
Région Grand-Est most aggressive rider Minute / Minute de la Combative - Étape 8 / Stage 8 #TDFF2022
#TDF2021 - Étape 8 / Stage 8 - Antargaz most aggressive rider Minute / Minute du Combatif Antargaz
Antargaz most aggressive rider Minute / Minute du Combatif Antargaz - Étape 16 / Stage 16 #TDF2022
Antargaz most aggressive rider Minute / Minute du Combatif Antargaz - Étape 9 / Stage 9 #TDF2022
Antargaz most aggressive rider Minute / Minute du Combatif Antargaz - Étape 14 / Stage 14 #TDF2022
Buy Now on CodeCanyon