Surprise Me!

Implants Bellevue/ Dental Seattle

2013-09-02 135 Dailymotion

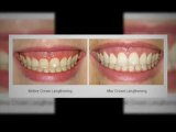
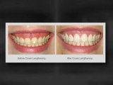
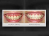
For Implants, Dental, Veneers, Crowns, All on four, Crowns and Bridges in Bellevue and Seattle, Call us on: 425-368-5988

Buy Now on CodeCanyon