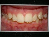
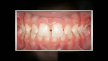
http://www.woodhilldentalspecialties.com Dallas Orthodontics treatment is about getting the right care at the right time in the most efficient, comfortable, and rewarding way possible. <br />Woodhill Dental Specialties<br />8355 Walnut Hill Lane, Suite 100<br />Dallas
