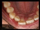
http://sonomasmiles.com/ (707) 200-1191 <br />The Inman Aligner is not only the perfect solution for crowding or protrusion of the upper and lower front teeth, but it’s also fast, safe and a great value. It can be used as a stand-alone treatment or to pre-align patients’ teeth prior to further cosmetic procedures such as bonding or veneers. For more information, please click here: http://sonomasmiles.com/patients-achieve-teeth-straightening-results-faster-with-inman-aligner/
