Surprise Me!
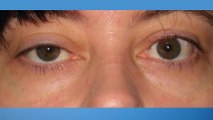
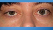
bd-hablamos-acerca-tratamientos-cuidados-piel-parpados-011018
2018-10-01
1
Dailymotion
Please enable JavaScript to view the
comments powered by Disqus.
Related Videos
bd-inflamacion-de-parpados-y-tratamientos-051021
bd-parpado-caido-causas-y-tratamientos-211019
bd-hablamos-tratamientos-aliviar-columna-281118
bd-hablamos-sobre-lupus-y-tratamientos-130820
bd-hablamos-de-tipos-de-conjuntivitis-y-tratamientos-110621
bd-hablamos-sobre-complicaciones-de-hepatitis-b-causas-y-tratamientos-090522
bd-hablamos-de-dientes-flojos-causas-y-tratamientos-160822
bd-hablamos-de-los-tratamientos-para-la-psoriasis-190721
Hablamos con Álex Sestelo, el gurú del cabello, sobre cortes, colores, tendencias, tratamientos y mucho más.
Hablamos con Laura Pomares, fundadora de la clínica estética Sain Clinics, sobre las últimas tendencias en belleza y tratamientos
Buy Now on CodeCanyon