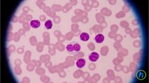
What Is Chronic Lymphocytic Leukemia?<br />Cancer starts when cells start to grow out of control. Cells in nearly any part of the body can become cancer and can spread to other parts of the body. To learn more about how cancers start and spread, see What Is Cancer?<br /><br />Chronic lymphocytic leukemia (CLL) is the most common leukemia in adults. It's a type of cancer that starts in cells that become certain white blood cells (called lymphocytes) in the bone marrow. The cancer (leukemia) cells start in the bone marrow but then go into the blood.<br /><br />In CLL, the leukemia cells often build up slowly. Many people don't have any symptoms for at least a few years. But over time, the cells grow and spread to other parts of the body, including the lymph nodes, liver, and spleen.<br /><br />What is leukemia?<br />Leukemia is cancer that starts in the blood-forming cells of the bone marrow. When one of these cells changes and becomes a leukemia cell, it no longer matures the way it should and grows out of control. Often, it divides to make new cells faster than normal. Leukemia cells also don't die when they should. This allows them to build up in the bone marrow, crowding out normal cells. At some point, leukemia cells leave the bone marrow and spill into the bloodstream. This increases the number of white blood cells in the blood. Once in the blood, leukemia cells can spread to other organs, where they can prevent other cells in the body from functioning normally.<br /><br />Leukemia is different from other types of cancer that start in organs like the lungs, colon, or breast and then spread to the bone marrow. Cancers that start elsewhere and then spread to the bone marrow are not leukemia.<br /><br />Knowing the exact type of leukemia helps doctors better predict each patient's outlook and select the best treatment.<br /><br />What is a chronic leukemia?<br />In chronic leukemia, the cells can mature partly (and more are like normal white blood cells). but not completely. These cells may look fairly normal, but they're not. They generally don't fight infection as well as normal white blood cells do. The leukemia cells survive longer than normal cells, and build up, crowding out normal cells in the bone marrow. It can take a long time before chronic leukemias cause problems, and most people can live with them for many years. But chronic leukemias tend to be harder to cure than acute leukemias.<br /><br />What is a lymphocytic leukemia?<br />Leukemia is myeloid or lymphocytic depending on which bone marrow cells the cancer starts in.<br /><br />Lymphocytic leukemias (also known as lymphoid or lymphoblastic leukemia) start in the cells that become lymphocytes. Lymphomas are also cancers that start in those cells. The main difference between lymphocytic leukemias and lymphomas is that in leukemia, the cancer cells are mainly in the bone marrow and blood, while in lymphoma they tend to be in lymph nodes and other tissues.<br /><br />Different types of CLL<br />Doctors agree that there seem to be 2 different kinds of CLL:<br /><br />One kind of CLL grows very slowly. So
