Surprise Me!

Begini Kronologi Tewasnya Orangutan dengan 130 Peluru

2022-11-17 62 Dailymotion

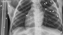
TEMPO.CO, Samarinda: Kepala Seksi Pengendalian Ekosistem Hutan Balai Taman Nasional Kutai (TNK), Dede Nurhidayat menjelaskan kronologi tewasnya seekor orangutan tewas dengan kondisi tragis.

Buy Now on CodeCanyon