Surprise Me!

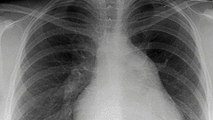
Preocupante aumento de casos de COVID19

2025-12-02 0 Dailymotion

"Seguimos para arriba, hay un aumento en todos los centros de muestra, tenemos más de 1000 tomas por día, con un promedio de 800 positivos por día", Dra. Leticia Pintos.

Buy Now on CodeCanyon