Surprise Me!

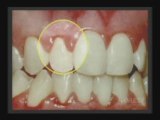
Dr. Gregory Dilger - Treating Gum Disease

2009-12-04 41 Dailymotion

From Salem Oregon, Dr. Gregory Dilger discussing treatment options for those with Gum disease, www.DrGregDilger.com, to view the full interview go to www.wellnesshour.com and enter search keyword: Dilger

Buy Now on CodeCanyon